Cas Clinique RONDOflex™ plus 360

Intérêt actuel de l’air abrasion humide en dentisterie.

Dr. Thierry Caire

  • Docteur en chirurgie Dentaire
  • Diplomé de l'Université Paris Descartes
  • Certificat études supérieures en Biomatériaux
  • Certificat études supérieures en Parodontologie
  • Attestation Universitaire en Implantologie
  • Membre expert en dentisterie esthétique du Groupe Mimesis
  • Exercice libéral à Lambesc en Provence
  • Auteur de publications ou communications orientées vers la précision en prothèse fixée, le champ opératoire en dentisterie adhésive, la photographie dentaire.

La dentisterie depuis une trentaine d'années évolue clairement d'une conception mécaniste (assemblage par emboitement) à une conception adhésive. Le collage s'est généralisé à tous les domaines de notre activité (dentisterie opératoire, prothèse, implantologie, orthodontie).

Quelques soient les types de matériaux en présence, quelques soient les familles de systèmes adhésifs, l'assemblage collé nécessite impérativement des surfaces propres, et d'une rugosité de surface adaptée. 

La projection de particules ou « micro sablage » est depuis longtemps utilisée au laboratoire de prothèse pour préparer principalement les surfaces métalliques (ailettes de bridges collés), mais aussi certains matériaux céramiques et ceux à base de résine surtout en prothèse adjointe.

Ces opérations se réalisent dans des enceintes fermées, munies d’aspirations déportées puissantes en raison du risque d'inhalation des particules d'oxyde d'aluminium (alumine).

Avec le développement des collages des restauration indirectes (composite ou céramique), réalisées en CFAO ou de manière traditionnelle, sont apparues des micro sableuses destinées au cabinet dentaire. Celles - ci fonctionnent sur le même principe d'une pulvérisation de particules d'alumine par un air sec.

Ces micro sableuses sont utilisées dans une enceinte « légère » munie généralement d'une aspiration intégrée très sommaire. La zone de travail est rapidement poussiéreuse.za

L'utilisation de ces micro sableuses poudre/air directement en bouche (grâce à leurs kits de branchement sur l'unit) est problématique en raison du nuage de particules présent dans l'environnement du patient et des opérateurs. De plus la poussière d'alumine abrasive est retrouvée sur les surfaces et matériels. Ces retombées sont inévitables même en présence d'une aspiration chirurgicale.

Parallèlement le « sablage » humide sous le nom d'aéro-abrasion fut développé en dentisterie prophylactique (avant scellement de sillons) et en alternative au fraisage dans le traitement des lésions carieuses débutantes (caries de sillons). 

Si ces indications sont toujours valables, leur champ d'applications s'est largement étendu aujourd'hui au traitement des surfaces dentaires destinées au collage.

Actuellement, deux types de matériel sont possibles pour utiliser de cette technologie de sablage humide. Soit un générateur indépendant à installer à proximité du fauteuil, soit une pièce à main intégrée à l'unit via le cordon turbine.

C'est ce matériel intégré (RONDOflex) que nous avons utilisé.

De nombreuses études ont montré que le micro sablage augmentait la microrugosité de surface (architecture), la mouillabilité, la surface développée et par conséquent permettait des valeurs d ‘adhérence supérieures.

Il permet de projeter soit:

  • Un mélange air/eau/alumine 27 microns pour un micro sablage léger sur la dentine ou le composite)
  • Un mélange air/eau/ alumine 50 microns permettant une action plus puissante sur le métal, la céramique (réparation fracture) ou le nettoyage des éléments provisoires).

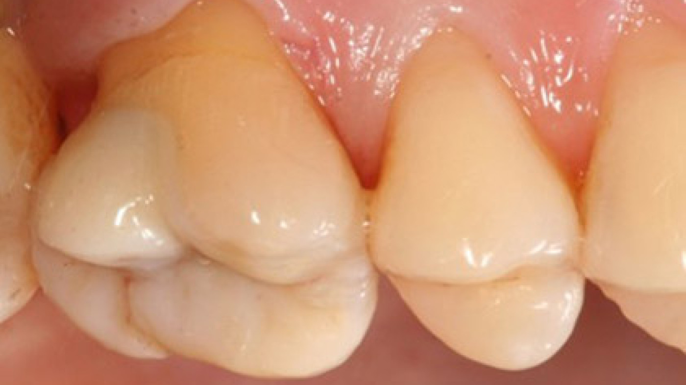
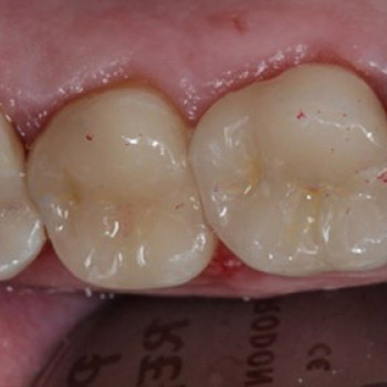
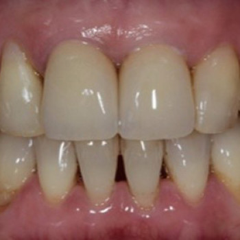
Le micro sablage permet de préparer rapidement les faces linguales de 12 à 23 avant la mise en place d’adhésif (Optibond eXTRa) puis de composite fluide avant le montage de facettes directe en composite (Harmonize).

D'un point de vue pratique, le micro sablage de l'intrados d'une restauration indirecte en composite se fera au laboratoire de prothèse (rappel : ceux en céramiques à base de verre sont traités par mordançage) et un micro sablage se fera en bouche sur la surface dentaire ayant subit idéalement un scellement dentinaire immédiat par un adhésif chargé recouvert ou non de composite selon l'espace disponible.

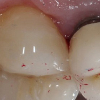
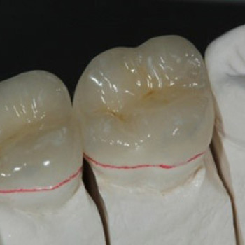
Overlays Emax mordancés (laboratoire Pierre Andrieu).

Micro sablage alumine 50u des surfaces dentaires traitées avant l'empreinte par un scellement immédiat de la dentine (optibond FL + composite flow). Application d'un silane sur les intrados des overlays, puis d'Optibond eXTRA sur overlays et les surfaces dentaires et enfin mise en place d'une colle duale type Nexus.

Un autre avantage du micro sablage est sa capacité à éliminer en extra oral le ciment résiduel avant un rescellement et/ou un rebasage d'éléments provisoires ou d'usage.

Ainsi, le micro sablage léger à l’alumine 27 microns de surfaces dentaires préparées pour recevoir des éléments périphériques scellés, optimise l'assemblage dent/ciment/ couronne en particulier en présence de faible hauteur de pilier ou de fortes contraintes.

En matière d'ergonomie, le conditionnement des surfaces par micro sablage (quelque soit le type d'assemblage collé ou scellé) est plus rapide et simple que le recours aux brossettes, pâtes abrasives, fraises, meulettes ou curettes.

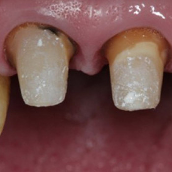
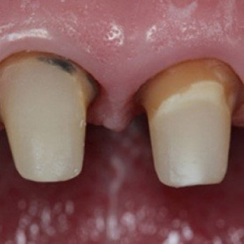
Nettoyage/ de 11 et 21

Par sablage à l'alumine 27u avant scellement de céramiques Emax sur chapes zircone.

La qualité du joint est excellente.

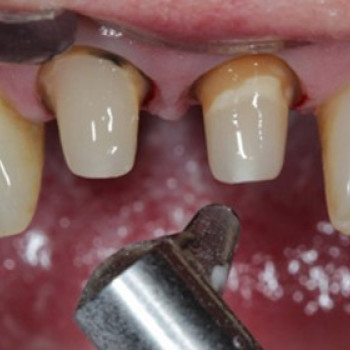
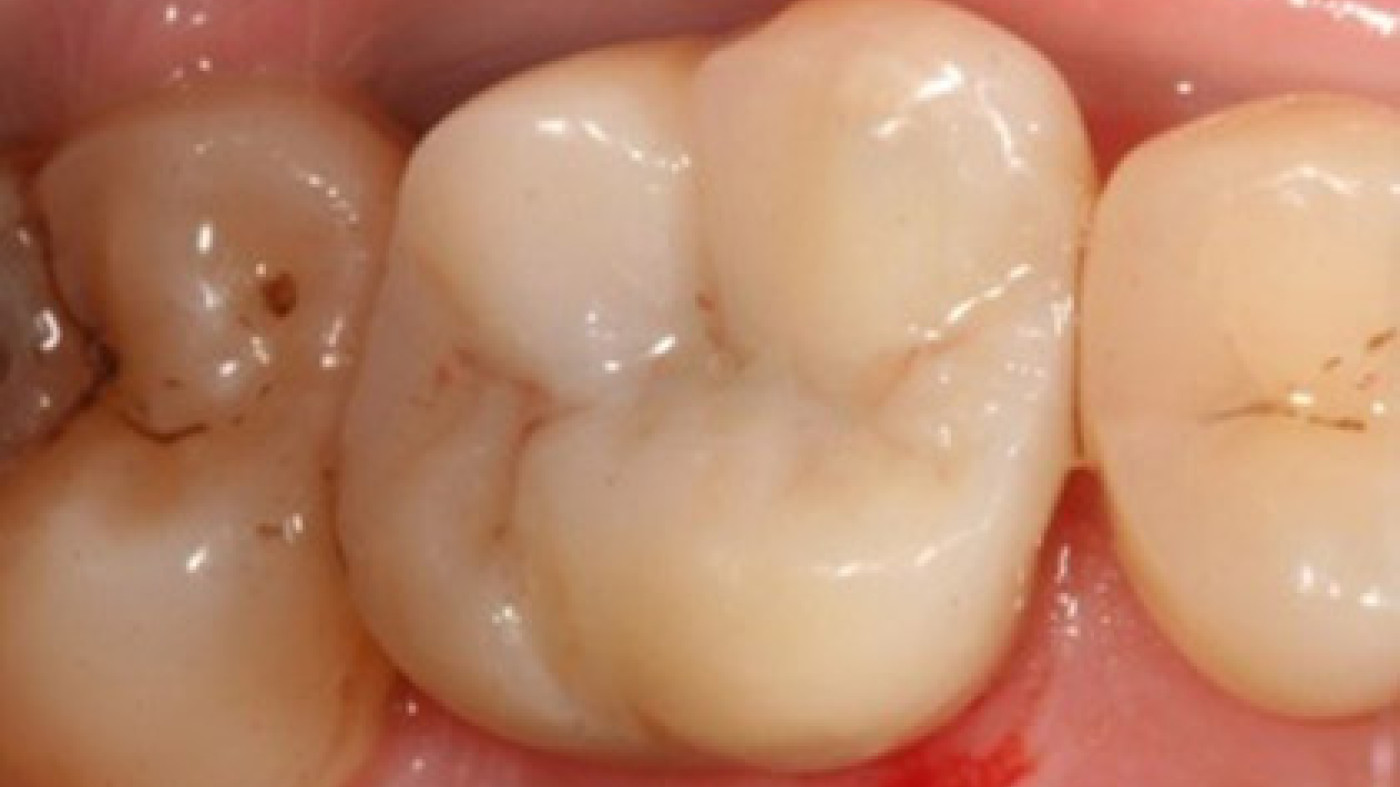
Sablage alumine 27 de la surface dentinaire de 16, mordançage amellaire, adhésif (Solo) assemblage par une colle Duale (Nexus).

Conclusion

L'air abrasion humide est un procédé qui s'impose pour obtenir une parfaite adhésion, par son pouvoir nettoyant. Ce micro sablage augmente les valeurs d'adhérence en modifiant l'architecture de surface des matériaux et de la dent.

Avec la généralisation d'une dentisterie adhésive basée sur l'économie tissulaire, et des systèmes de fabrication d'éléments prothétiques produits par CFAO, le micro sablage devient une étape incontournable du processus d'assemble final.

 

Télécharger le Cas Clinique

Découvrir RONDOflex plus 360

 

Bibliographie:

D'Arcangelo et Vanini, «Effect of three surface treatments on the adhésive properties of indirect composite restaorations».
Nishigawa et al., «Various effects of sandblasting of dental restorative materials».
Chaiyaburt et Kois, «The effects of tooth préparation cleansing protocols on the bond strenght of self-adhesive resin luting cément to contaminated dentin».
Erkut et al., «Effect of different surface-cleaning techniques on the bond strenght of composite resin restorations».