KaVo RONDOflex Plus 360: Une solution complète pour une préparation mini-invasive des cavités.

Dr Michael N. Mandikos

Le Dr Mandikos est un spécialiste invité de l’École de médecine dentaire de l’Université du Queensland (University of Queensland Dental School) et un ancien spécialiste consultant dans la Force aérienne royale australienne. Il travaille en tant que relecteur pour plusieurs revues dentaires internationales et comme testeur de produits pour plusieurs entreprises dentaires. Le Dr Mandikos propose régulièrement des programmes de formation continue dans toute l’Australie et l’Asie du Sud-Est et exerce en tant que spécialiste en cabinet privé à Brisbane, en Australie.

 

Affiliation 

  • Spécialiste invité, Université du Queensland 
  • Membre de l’Australian Dental Association 
  • Membre de l’Australian and New Zealand Academy of Prosthodontists 
  • Membre de l’Australian Prosthodontic Society 
  • Membre de l’Australian Osseointegration Society

L’abrasion à air, également connue sous le nom de sablage, correspond au traitement de la surface de la dent ou de la restauration à l’aide d’un jet fin de particules d’oxyde d’aluminium. 

Cette méthode est reconnue pour améliorer la rugosité de la surface traitée afin de la préparer à des procédures de collage. Le processus consiste à projeter sous pression contrôlée des particules d’oxyde d’aluminium microscopiques (généralement entre 30 μm et 50 μm) sur la surface de la dent ou de la restauration. La surface abrasée par l'air est entaillée par des particules d'alumine plus dures, ce qui conduit à une surface microrétentive rugueuse et à haute énergie, prête à être collée. Cette technique est particulièrement adaptée au pré-traitement de la dentine ou des surfaces métalliques et céramiques avant l’application de ciment et d’adhésif à base de résine. 

L’abrasion à air peut également être utilisée sur des surfaces en émail et de nombreux cas décrits dans la littérature orthodontique suggèrent que la force d’adhésion des appareils orthodontiques sur de l’émail traité par ce système est supérieure à un traitement par mordançage seul. L’abrasion à air peut également améliorer la force d’adhésion des systèmes auto-mordançants à la dentine, en retirant la couche de boue dentinaire avant l’application de l’adhésif. 

Si l’abrasion à air s’avère cliniquement très efficace et bénéficie d’une popularité croissante auprès des cliniciens travaillant sur des cas d’adhésion avancée, l’un de ses principaux défauts est lié à la procédure elle même. En effet, l’abrasion à air intra-orale entraîne la dispersion des particules d’aluminium microscopiques dans toute la cavité buccale, autant qu’à l’extérieur, sur le visage du patient et souvent sur l’environnement de travail clinique situé à proximité immédiate. Cela peut comprendre les gants du dentiste, le sol, voire les plans de travail du milieu clinique.

Poudre de corindon pour KaVo RONDOflex™ 360, 27 µm pour une faible puissance abrasive.

Les particules d’aluminium sous pression sont emprisonnées dans le jet d’eau et ne sont pas projetées dans la bouche du patient ou sur l’espace de travail clinique.

Ces particules constituent non seulement une nuisance pour le clinicien, mais elles peuvent également rester dans la bouche du patient malgré une irrigation et un rinçage abondants, et potentiellement se fixer sur la surface des dents juste avant la mise en place de la restauration définitive. Ainsi les particules risquent d’être intégrées dans le film de ciment final. La possibilité de contaminer le ciment, associée au désagrément global causé par les particules d’aluminium de l’abrasion à air, peut dissuader certains cliniciens d’utiliser cette forme de traitement de surface avant les procédures de collage.

Heureusement, KaVo offre une solution au problème des désagréments causés par l’abrasion à air avec le lancement du système d’abrasion à air RONDOflex 360 en 2007. Avec le RONDOflex 360, le jet de particules d’aluminium est enrobé d’une gaine d’eau provenant d’un spray d’eau associé, assez comparable à l’eau diffusée par les instruments rotatifs dentaires autour des fraises. Le RONDOflex 360 se branche d’ailleurs au même raccord qu’une pièce à main ou turbine à haute vitesse, ce qui rend l’appareil plus facile à utiliser, car aucun raccord distinct ou supplémentaire ne doit être ajouté sur la tablette du clinicien. Le RONDOflex 360 permet de traiter par abrasion à air la surface d’une dent de façon intra-orale, en utilisant ce qui s’apparente à un simple jet d’eau dirigé sur la dent. Ainsi, les particules d’aluminium sous pression sont emprisonnées dans le jet d’eau et ne sont pas projetées dans la bouche ou sur l’espace de travail clinique. Le RONDOflex 360 permet au clinicien de pré-traiter proprement la surface de la dent ou l’intrados de la prothèse.

L’étude de cas suivante montre l’utilisation du RONDOflex 360 pour améliorer et optimiser l’adhésion entre la restauration et la dent dans une situation clinique complexe.

Figure 1

Figure 2

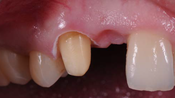
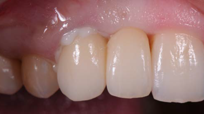
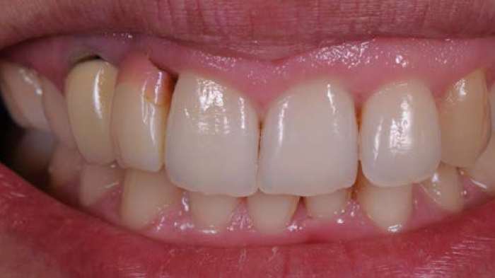
Figures 1 et 2 : la patiente était une jeune femme ayant déjà fait l’objet d’un traitement à l’aide d’un bridge cantilever de deux unités en raison de l’absence congénitale d’incisive latérale maxillaire droite. Bien que la canine constitue une dent-pilier tout à fait adaptée pour ce type de traitement, la dent avait malheureusement été préparée en vue d’une prothèse à recouvrement complet au lieu d’être traitée à l’aide d’une plaque palatine pour un bridge Maryland. La patiente n’était pas satisfaite de l’aspect esthétique de la prothèse existante et recherchait une solution de remplacement.

Figure 3

Figure 4

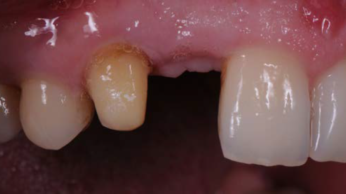
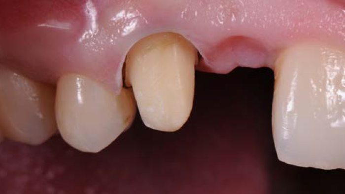
Figures 3 et 4 : après discussion avec la patiente et l'obtention de son consentement, il a été décidé que le traitement consisterait en un remplacement du bridge, sans augmentation des tissus mous de la crête résiduelle. Le bridge existant a donc été retiré, la préparation lourde de la dent-pilier a été épurée, des empreintes et des enregistrements ont été faits, avant de placer un bridge provisoire.

Figure 5

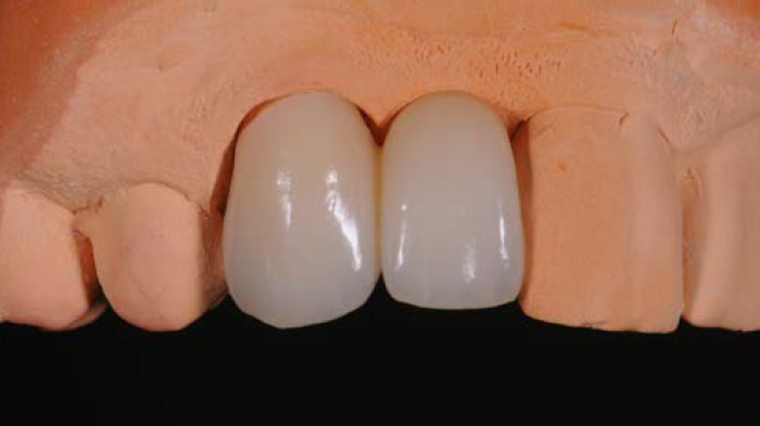
Figure 6

Figures 5 et 6 : le céramiste a ensuite fabriqué le bridge définitif à l’aide d’une armature au disilicate de lithium (eMax) recouverte d’une couche d’eMax Ceram pour un résultat esthétique optimal. Il s’agissait d’un bridge cantilever à deux unités, comparable à l’ancienne prothèse, mais avec une attention particulière portée à la dimension du connecteur pour garantir la solidité de la restauration finale.

Figure 7

Figure 8

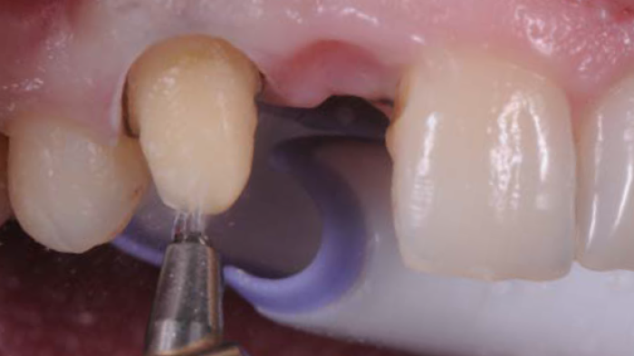
Figure 7 : au moment de la pose du bridge, il a été décidé qu’un protocole d’adhésion renforcée était nécessaire en raison de la nature trop courte et conique de la préparation de la dent-pilier ainsi que des charges supplémentaires dues au bridge cantilever qui s’appliqueraient. La situation clinique indiquait ainsi que la dent-pilier devait être traitée par abrasion à air avec des particules d’aluminium afin d’amé - liorer la qualité de l’adhésion finale. Le substrat dentaire a été isolé à l’aide d’un fil de rétraction puis le bridge cantilever a pu être testé et ajusté afin qu’il s’adapte parfaitement. 

Figure 8 : une fois le processus d’ajustement et de test terminé, la dent-pilier a été nettoyée par abrasion à air avec le RONDOflex 360.

Figure 9

Figure 10

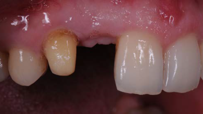
Figure 9 et 10 : après l’utilisation du RONDOflex 360, on peut observer un changement de la surface dentinaire qui passe d’une finition légèrement brillante à une apparence plus mate. Ce changement indique la réussite de l’abrasion à air et l’obtention d’une micro-rugosité de la surface, prête pour les procédures de collage suivantes.

Figure 11

Figure 12

Figures 11 et 12 : après le traitement de la dent par abrasion à air, la surface interne du bridge au disilicate de lithium (eMax) a été traitée par mordançage à l’acide fluorhydrique puis un silane a été appliqué afin d’optimiser l’adhésion.

Figure 13

Figure 13 : l’adhésif dentinaire Optibond XTR a ensuite été appliqué sur la surface de la dent conformément aux instructions du fabricant, mais sans être photopolymérisé avant la pose du bridge. Le ciment à base de résine NX3 de Kerr a été appliqué sur le bridge et la photopolymérisation a alors été effectuée afin d’agir simultanément sur l’adhésif et le ciment.

Figure 14

Figure 14 : après le nettoyage du ciment résiduel, l’occlusion a été à nouveau vérifiée (afin de s’assurer que l’excursion s’appliquait uniquement à la canine et qu’aucun guidage ne provenait du pontique) et la patiente a été invitée à revenir un mois plus tard pour l’examen final.

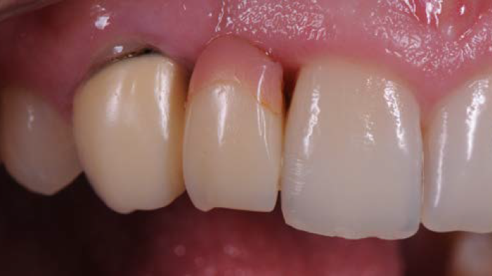
Figure 15

Figure 16

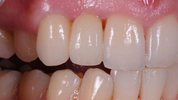
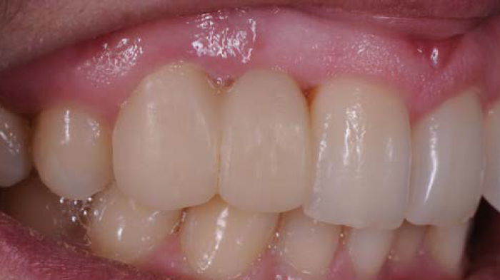
Figures 15 et 16 : la patiente est revenue un mois plus tard pour l’examen final. Sa capacité à entretenir et à nettoyer la prothèse était optimale, l’occlusion équilibrée et le guidage en harmonie avec le reste de la bouche. Le résultat clinique s’avérait parfait et la patiente était très satisfaite des résultats esthétiques et fonctionnels de son nouveau bridge.

 

Télécharger le Cas Clinique

Découvrir RONDOflex plus 360

 

Bibliographie:

1. Coli P, Alaeddin S, Wennerberg A & Karlsson S. In vitro dentin pretreatment: Surface roughness and adhesive shear bond strength. European Journal of Oral Science 1999. 107(5): 400-413. 
2. Hanning M & Femerling T. Influence of air-abrasion treatment on the interfacial bond between composite and dentin. Operative Dentistry. 1998. 23(5): 258-265. 
3. Cal-Neto JP, Castro S, Moura PM, Ribeiro D, Miguel JA. Influence of enamel sandblasting prior to etching on shear bond strength of indirectly bonded lingual appliances. Angle Orthod. 2011. 81(1):149-52. 
4. Chaves P, Giannini M & Ambrosano GM. Influence of smear layer pretreatments on bond strength to dentin. Journal of Adhesive Dentistry 2002. 4(3): 191-196.