DIAGNOcam™

При использовании инфракрасного света зубная эмаль пропускает излучение, как стекло, а кариозные ткани поглощают больше света и приобретают темный цвет. KaVo DIAGNOcam позволяет определить местоположение и глубину кариозного дефекта без использования рентгеновского излучения.

  • Обнаружение кариеса в полном объеме: от начальных форм до обширных кариозных поражений
  • Изображения в режиме реального времени: демонстрация полученных изображений и видео на экране поможет вам и пациентам сэкономить время
  • Отсутствие рентгеновского излучения: диагностика пациентов с радиофобией, онкобольных, детей, беременных женщин и малоподвижных пациентов

Диагностика кариеса на новом уровне

При использовании инфракрасного света зубная эмаль пропускает излучение, как стекло, а кариозные ткани поглощают больше света и приобретают темный цвет. KaVo DIAGNOcam позволяет определить местоположение и глубину кариозного дефекта без использования рентгеновского излучения.

Изображения, получаемые при помощи DIAGNOcam, легко интерпретировать. Также они улучшают коммуникацию с пациентом за счет визуализации изображения на мониторе.

Как работает DIAGNOcam?

Принцип действия DIAGNOcam достаточно прост.

Изображение на DIAGNOcam получается благодаря технологи DIFOTI (цифровая фиброоптическая трансиллюминация). Прибор генерирует лазерное излучение в нерентгеновском диапазоне волн. При этом через здоровую часть зуба луч проходит свободно, без препятствий, а непроницаемые области, такие, как кариес, легко обнаруживаются и представляют собой затемненные на общем фоне участки. 

Встроенная видеокамера передает изображение на экран в режиме реального времени. Таким образом, благодаря отсутствию излучения данную процедуру (диагностика кариеса) можно повторять настолько часто, насколько это необходимо. Это очень удобно, особенно для детей, беременных женщин и пациентов с противопоказаниями к рентгеновским методам исследования.

Видео

Многое становится очевидным

KaVo DIAGNOcam открывает новые воможности в диагностике кариеса

  • Обнаружение кариеса в полном объеме: от начальных форм до обширных кариозных поражений
  • Изображения в режиме реального времени: демонстрация полученных изображений и видео на экране поможет вам и пациентам сэкономить время
  • Отсутствие рентгеновского излучения: диагностика пациентов с радиофобией, онкобольных, детей, беременных женщин и малоподвижных пациентов

Кариес апроксимальной поверхности премоляра

Помимо затемнения на оклюзионной поверхности, клиническое исследование 15 премоляра не может выявить других признаков кариозного процесса. Изображение DIAGNOcam способно это сделать.

На изображении отчетливо видно затемнение в обласи контактной поверхности, которое распространилось на дентино-эмалевое соединение. Также представлена классическая рентгенограмма.

На изображении виден кариозный процесс, который проникает в дентин.

Ранняя диагностика кариеса без рентгеновского излучения!

Вы можете ознакомиться с изображениями, полученными во время исследований, проведенных в стоматологической клинике в Мюнхене. Для дополнительного подтверждения диагноза были сделаны рентгеновские снимки. Результаты показали, что диагностика кариеса во многих случаях не требует применения рентгеновского оборудования. 

Кариес выявлен при помощи метода DIFOTI (инструмент DIAGNOcam). В этом случае клинических данных недостаточно для выявления кариозного поражения.

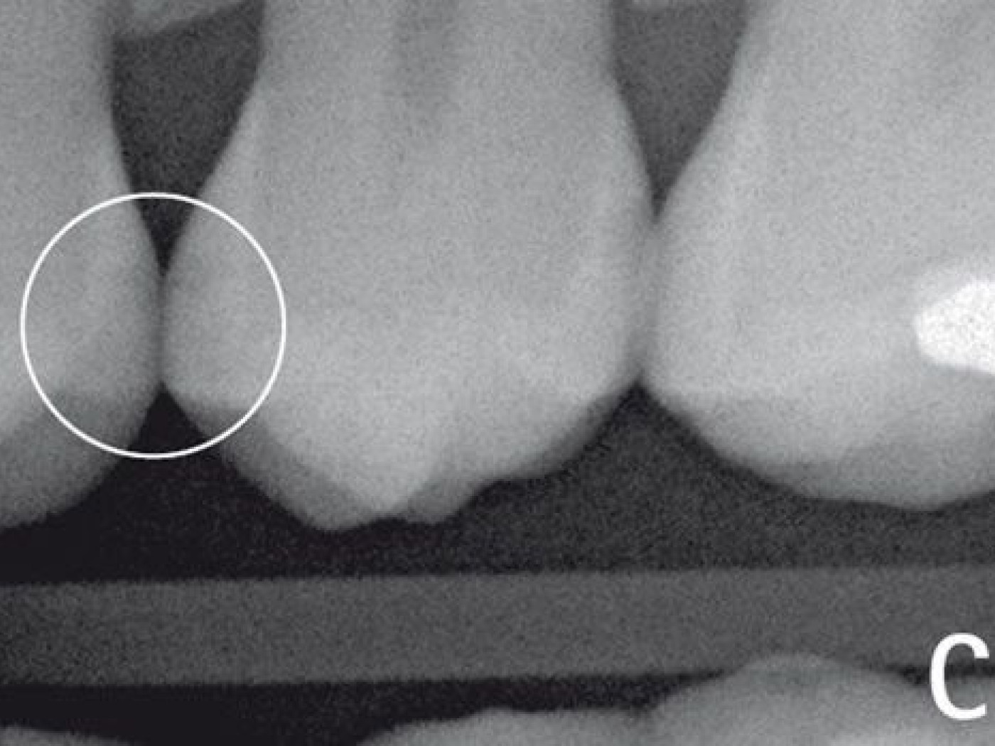
На рис. (А) представлены премоляры, которые кажутся клинически здоровыми. Затемненные участки заметны только на рисунке (B) (левый и правый круг), полученном при помощи DIAGNOcam. Кариозные изменения также заметны на рентгеновских снимках на задней поверхности. С помощью рентгеновского излучения переднюю область зуба оценить не всегда возможно в связи с эффектом частичного наложения (C), которое возникает довольно часто.

Данный случай показывает, что с помощью DIAGNOcam можно обнаружить обширные кариозные очаги. Как и в первом случае, визуальный осмотр контактной поверхности (А) не позволяет заподозрить наличие паталогического процесса. 

При исследования DIAGNOcam обнаружен обширный кариозный очаг, клинически не выявленный (B). Такие повреждения можно обнаружить и при рентгеновском исследовании (C). В данном случае было принято решение об экскавации кариозной области с применением традиционных ротационных боров и последующей реставрацией композитным материалом. На изображении (D) показано, как выглядел зуб до процедуры пломбирования.

В данном исследовании представлен случай окклюзионно расположенного кариозного очага. Фиссуры на окклюзионной поверхности предрасположены к появлению кариеса в связи с ограниченными возможностями гигиены.

Соответственно, в профилактических целях фиссуры часто герметизируют. В данном случае классическая диагностика кариеса затруднена (А). При исследовании DIAGNOcam точно определяются очаги кариозных затемнений (см. круг B), которые были обнаружены и на рентгеновском снимке.

Загрузки

Новостная рассылка

Контакт
Специальные предложения
Загрузки
KaVo Box