DEXIS FOCUS™

  • Enastående stabilitet
  • Mjuka rörelser
  • Anti-driftmekanism (ADM)
  • Konsekventa bilder
  • Tillförlitlig användningutmärkt tillverkningskvalitet

Den exakta röntgengeneratortekniken i FOCUS garanterar säker exponering och repeterbar bildkvalitet vid varje tidpunkt.

Enastående stabil och otroligt lätt att hantera.

Valet av tre olika armlängder gör FOCUS till den perfekta röntgengeneratorn för alla mottagningar. Armens långa räckvidd säkerställer att DEXIS FOCUS röntgengenerator alltid kan placeras där den behövs.

FOCUS röntgengenerator är mycket stabil, men otroligt lätt och enkel att hantera. Den kan smidigt positioneras med bara en hand. Rörelsen stannar där du vill, utan drift eller ytterligare förflyttning. 

Den enastående stabiliteten åstadkoms genom anti-driftmekanismen (ADM) i saxarmen. Den innovativa utformningen ger fullständig immobilisering efter positionering, vilket är avgörande för att få kliniskt korrekta bilder.

DEXIS FOCUS – adapter

Med adaptern, som är speciellt utformad för KaVos behandlingsenheter, kan FOCUS enkelt monteras i en mycket stabil och hållbar position nära patienten.

Monteringssystemet till FOCUS röntgengenerator kräver en minimal yta på väggen. Utöver standardväggmonteringen kan FOCUS röntgengenerator även monteras på organisations- och supportsystemet KaVo CENTRO. 

DEXIS FOCUS kan även monteras på KaVos behandlingsenheter med hjälp av motsvarande adapter. Även på tandläkarmottagningar med utmanande disposition är det enkelt och praktiskt att ta röntgenbilder.

FOCUS – strålningskäglor: Välj bland en mängd olika strålningskäglor för att säkerställa att röntgenexponeringen på bästa sätt matchar de kliniska behoven.

Panel: Intuitiv kontrollpanel med förprogrammerade exponeringsinställningar för alla delar av tanduppsättningen hos både vuxna och barn.

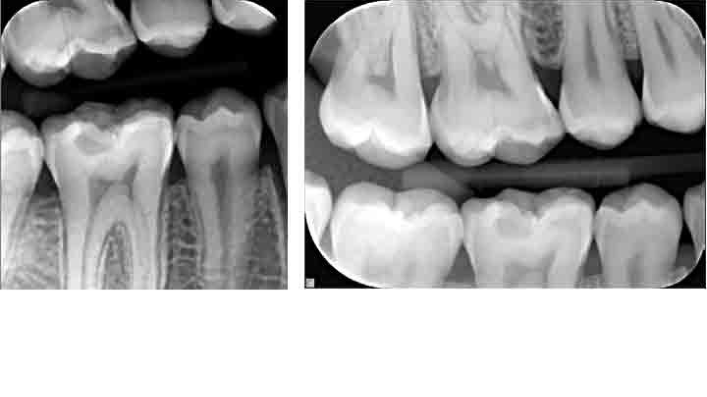
DEXIS FOCUS intraoral röntgen: Ger konsekventa resultat, exponering efter exponering.

Tekniska specifikationer

DEXIS FOCUS 
Generatorkonstant potential (högspänning DC, 100–200 kHz)
Rörspänning60 kV, 70 kV valbar
Rörström7 mA
Fokalpunkt0.7 mm (IEC 60336)
Total filtrering2.0 mm Al (70 kV)
Exponeringstid0,02–3,2 sekunder
SSD (source‑skin distance)229 mm (9 tum) standardkägla, 305 mm (12 tum) lång kägla
Systemspänning115–230 V AC ±10 %, 50/60 Hz
Räckvidd176 cm, 191 cm och 216 cm (69 tum, 75 tum och 85 tum)
Vikt30 kg (66 lbs)

Mått

Promotions

The Great KaVo Trade-Up: Imaging!

Save up to 8,500 € on KaVo ProXam devices bought with Dental Units.

Downloads

Please contact us

Are you interested in a new product and have questions? Please do not hesitate to contact us:

Do you already have a KaVo product and have questions or a problem? Our technical support team will be happy to help you:

Newsletter

Contact
Promotions
Downloads
KaVo REPAIR