KaVo ProXam Imaging - Beyond the obvious

Kontaktieren Sie mich:

KaVo Imaging.  
Beyond the obvious.

Erleben Sie die perfekte Verbindung aus moderner Röntgentechnologie und intelligenter Softwareunterstützung: Die KaVo ProXam Bildgebung und die KI-basierten Tools von Romexis ermöglichen eine Bildgebung, die mehr zeigt als das Offensichtliche.  
 

Jetzt kontaktieren

Romexis 7 - Neue KI Features

KI-gestützt, intelligent und effizient.

Romexis 7 ist die neue, innovative Softwareversion, die Ihren Praxisalltag spürbar vereinfacht. 

Mit leistungsstarken, standardmäßig integrierten KI-Funktionen übernimmt Romexis zeitraubende Routineaufgaben und minimiert manuelle Eingriffe. 

Romexis 7 schafft so mehr Freiraum für das, was wirklich zählt – die bestmögliche Versorgung Ihrer Patientinnen und Patienten.
 

Jetzt kontaktieren

Die neuen KI-Funktionen im Detail

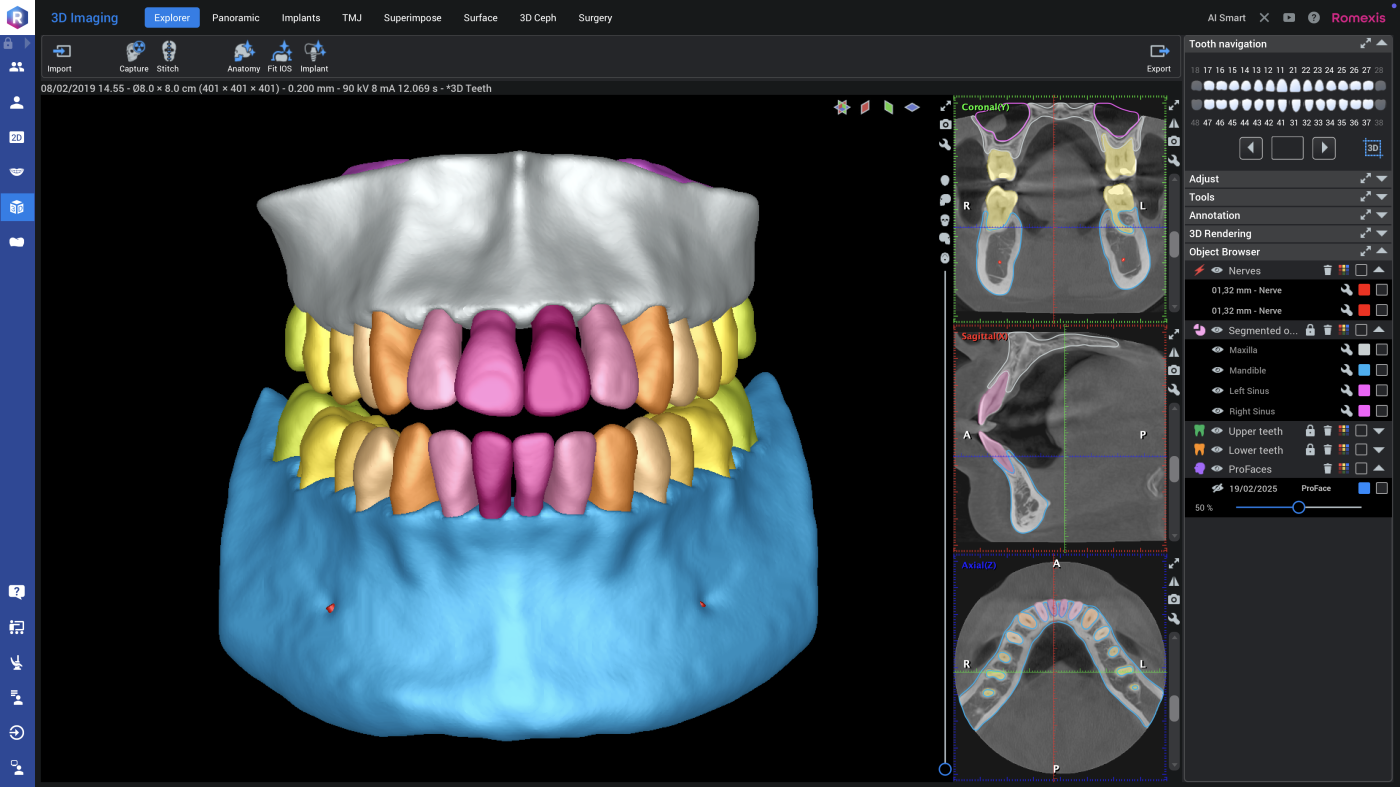
Smart Anatomy – Automatische 3D-Segmentierung:
Das Smart Anatomy Tool erkennt und segmentiert automatisch alle relevanten und anatomischen Strukturen – vom Zahnstatus bis hin zu Nerven, Kiefer und Atemwegen. Mit nur einem Klick startet die Segmentierung direkt nach der Bildaufnahme.

Smart Fit – Automatische Überlagerung von DVT und Intraoralscans:  
Smart Fit vereint DVT-Bilder und intraorale Scans auf intelligente Weise. Ist das DVT noch nicht segmentiert, übernimmt Romexis dies automatisch.  
Unterstützte Formate: STL und PLY (für vollständige Kieferscans).

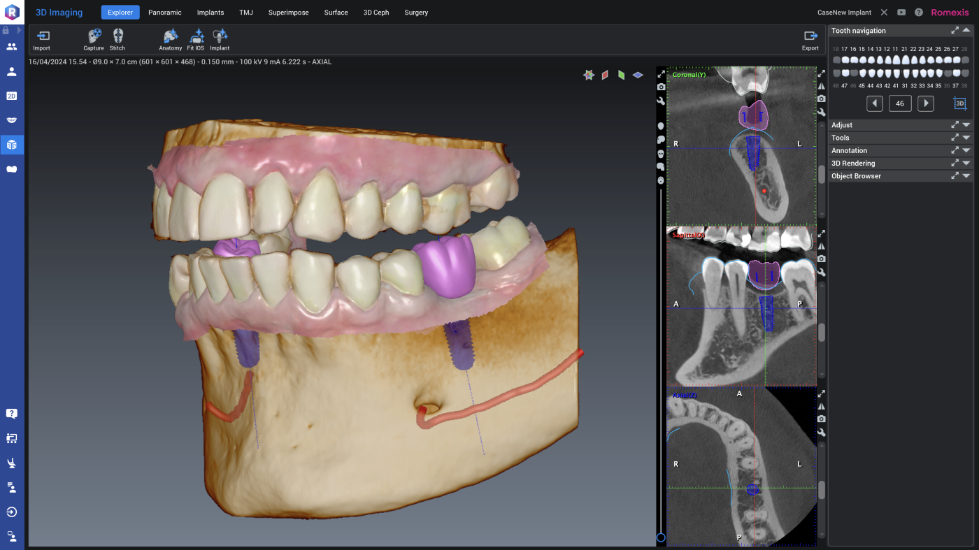
Smart Implant – Implantatplanung in Sekundenschnelle:
Dank Smart Implant wird Ihre Implantatplanung jetzt noch effizienter. Innerhalb von Sekunden erstellt Romexis einen vollständigen Planungsvorschlag:

  • Erkennung fehlender Zähne
  • Virtuelle Kronen werden in der richtigen Größe skaliert und platziert
  • Implantatgrößen werden automatisch ausgewählt und positioniert

Smart Chat – Ihr virtueller Assistent
Romexis unterstützt Sie mit einem KI-gestützten Smart Chat, der Ihnen jederzeit zur Seite steht:  

  • Schritt-für-Schritt-Anleitung für alle Funktionen
  • Direkter Zugriff auf passende Tutorial-Videos
  • Intuitiv. schnell und jederzeit verfügbar – Ihr persönlicher Assistenz-Partner

Weitere Funktionen

  • Automatische Zahnnummerierung für eine intuitive Navigation  
  • Isolierte Zahnansicht, ideal für präzise endodontische Planung  
  • Rendering Crop: Artefakt-freie 3D-Visualisierungen in höchster Präzision. 

Sprechen Sie mit Ihrem Fachberater über Ihre individuelle Lizenzoption und erleben Sie, wie Romexis 7 Ihre Arbeitsweise nachhaltig optimiert.

Jetzt kontaktieren

Einige der neuen Funktionen von Romexis 7 auf einen Blick:

KaVo ProXam 
Exzellentes extraorales Röntgen.  

Ob 2D oder 3D, ob Panorama-, Bissflügel- oder HNO-Aufnahmen: das KaVo ProXam Imaging-Portfolio bietet für jeden Anspruch die passende extraorale Röntgenoption.

Wenn Präzision zählt, ist Bildqualität entscheidend: Unsere 2D-Röntgengeräte liefern klare Aufnahmen für zuverlässige Diagnosen – kombiniert mit einer intuitiven Benutzerführung, die Ihren Praxisalltag spürbar erleichtert. Mehr Komfort für Sie. Mehr Vertrauen für Ihre Patienten.
 

Diagnostisch überzeugen auch unsere 3D-Röntgengeräte: Erleben Sie brillante Bildqualität bei minimaler Strahlendosis. Neben dem Optimalen Gleichgewicht von Strahlendosis und Bildqualität – für die geringstmögliche Strahlenbelastung zeichnen sich die 3D Geräte unter anderem durch eine hohe Benutzerfreundlichkeit und eine freie, automatische Volumenpositionierung aus.

Ich habe Interesse, bitte kontaktieren Sie mich:

Das KaVo ProXam Portfolio:

Imaging Software

Diagnostik bestens vernetzt.

Romexis – KaVo hat für Praxen und Kliniken eine der erfolgreichsten Imaging-Softwarelösungen im Programm.

Mehr erfahren

Extraorales Röntgen

KaVo ProXam: Eine neue Dimension für den dentalen Radiologieprozess.

Das KaVo ProXam Imaging-Portfolio bietet für jeden Anspruch die passende extraorale Röntgenoption.

Mehr erfahren

Intraorales Röntgen

Überzeugend präzise und begeisternd zuverlässig mit KaVo ProXam.

Das KaVo ProXam Portfolio ist das perfekte Team für moderne intraorale Diagnostik.

Mehr erfahren

KaVo Imaging.
Wir optimieren Ihren Praxisworkflow für mehr Überblick, mehr Präzision und mehr Effizienz.