Romexis

  • Sämtliche Bildgebungsgeräte vereint in einer umfassenden Softwareplattform
  • Ein zukunftssicheres Konzept – eine Lösung mit ausgezeichneter Nachrüstbarkeit
  • Zuverlässigkeit durch bewährte Technologie
  • Geeignet für alle Praxisgrößen, auch mit mehreren Standorten, bis hin zu Großkliniken
  • Integrierte Dokumentenverwaltung
  • Zentrales, geräteunabhängiges Diagnostik-Bildarchiv
  • Umfangreiche Werkzeugpaletten zur Sichtung, Bearbeitung, Messung und Bewertung
  • Überlagerungsoption für DVT-Aufnahmen zur Unterstützung bei der diagnostischen Analyse und Kontrolle
  • Auch für Drittanbieter offene Software-Lösung (TWAIN-Standard)
  • Schutz von personenbezogenen Daten und Patientendaten

Flexibel und vielseitig.

Nicht ohne Grund ist Romexis die weltweit führende All-in-One-Software für die dentale Praxis und Klinik: Romexis verknüpft alle kompatiblen Imaging-Geräte und vernetzt diese mit der Praxissoftware. Das macht Diagnostikprozesse nicht nur einfacher und komfortabler, sondern bietet smarte Optionen zur Optimierung und Digitalisierung ganzer Workflows. 

Neue KI Features 2025

Romexis 7 – die neue, innovative Softwareversion, die Ihren Praxisalltag spürbar vereinfacht. 


Mit leistungsstarken, standardmäßig integrierten KI-Funktionen übernimmt Romexis zeitraubende Routineaufgaben, minimiert manuelle Eingriffe und schafft so mehr Freiraum für das, was wirklich zählt: die optimale Versorgung Ihrer Patientinnen und Patienten. 

  • Smart Anatomy: Automatische 3D-Segmentierung erkennt und isoliert alle wichtigen anatomischen Strukturen wie Zähne, Nerven und Kiefer – direkt nach der Bildaufnahme mit nur einem Klick.
  • Smart Fit: Die intelligente Überlagerung von DVT-Aufnahmen und intraoralen Scans.
  • Smart Implant: Innerhalb von Sekunden erstellt Romexis vollständige Implantatplanungen inklusive Erkennung fehlender Zähne, virtueller Kronenplatzierung und automatischer Auswahl sowie Positionierung von geeigneten Implantaten.
  • Smart Chat: Der KI-gestützte Assistent beantwortet Fragen rund um die Bedienung der Software präzise und kompakt und begleitet Sie mit Schritt-für-Schritt-Anleitungen, wann immer Sie Unterstützung benötigen.

Romexis 7 revolutioniert Ihre digitale Praxisarbeit:

  • effizient, 
  • intuitiv und 
  • zukunftsweisend. 

Sprechen Sie mit Ihrem Fachberater über Ihre individuelle Lizenzoption und erleben Sie, wie Romexis 7 Ihre Arbeitsweise nachhaltig optimiert. 


Jetzt entdecken. Jetzt profitieren. 

Eine Software mit einer Vielzahl an Möglichkeiten.

Romexis ist die All-in-One-Software für jede Praxisgröße und alle zahnmedizinischen Fachgebiete.

Perfekt auf das gesamte KaVo ProXam Imaging-Portfolio abgestimmt, profitieren sowohl kleine Praxen als auch Kliniken von Romexis. Die All-in-One-Software begeistert durch Vielseitigkeit und einem Konzept, das heute und in Zukunft alle Optionen offenlässt: Dank der Kompatibilität zu Windows und macOS sowie den offenen Schnittstellen – auch zu Lösungen von Drittanbietern – ist Romexis flexibel einsetzbar und lässt sich an individuelle Anforderungen oder persönliche Nutzerbedürfnisse ganz einfach und schnell anpassen.

Wer im Bereich Diagnostik eine vielseitige und intelligente Software mit kompromissloser Qualität und zuverlässigen Premium-Features sucht, wird von Romexis, vor allem auch in Kombination mit dem neuen ProXam Diagnostik Portfolio, begeistert sein und nachhaltig profitieren.

2D Panoramaaufnahme

DVT-Aufnahme

3D Implantat-Planung

Alle Praxen und Kliniken

  • Privatpraxen mit einem Behandlungsraum bis hin zu Großpraxen
  • Praxen mit mehreren Standorten 
  • Kliniken mittlerer Größe
  • Krankenhäuser und Universitäten
     

Alle Fachgebiete

  • Radiologie
  • Implantologie
  • Zahnprothetik
  • Kieferorthopädie
  • Endodontie
  • Parodontologie
  • Ästhetische Zahnheilkunde

 

Alle Daten

  • DVT-Aufnahmen
  • 2D-Röntgenaufnahmen
  • Fotos und Videos
  • Intraorale 3D-Scans
  • TWAIN-Geräte
     

Alle Plattformen

  • Native Unterstützung für Windows und macOS (Einige Funktionen werden nur auf Windows-Betriebssystemen unterstützt)
200000

Nutzer*innen

weltweit vertrauen auf Romexis.

17

Jahre

erfolgreich in Praxen und Kliniken im Einsatz.

40 Mio.

Bilder

von mehr als 1,4 Millionen Patient*innen pro Jahr verarbeitet die größte Vernetzung mit Romexis innerhalb einer Praxis.

Die universelle Software-Plattform für den dentalen Bildgebungsprozess.

Romexis unterstützt Zahnärzt*innen bei folgenden Schritten:

  • Bilderstellung 
  • Diagnostische Auswertung
  • Bearbeitung und Speicherung von 2D- und 3D-Röntgenbildern sowie intraoralen Scans 
  • Verarbeitung erstellter CAD/CAM-Daten

Die komfortable Röntgensoftware für sämtliche Anforderungen.

Romexis bietet eine Vielzahl an zuverlässigen Werkzeugen, die entweder bei der detaillierten Behandlungsplanung oder beim Design von Bohrschablonen, Schienen und Zahnmodellen sowie bei Restaurationen für den hauseigenen 3D-Druck oder das Fräsen unterstützen. 

Mit seiner Vielzahl von integrierten Bildbearbeitungsprogrammen und integrierbaren Praxisverwaltungssystemen – auch von Drittanbietern – ist Romexis eine offene, umfassende und auch besonders zukunftssichere Softwarelösung. Sämtliche 2D-, 3D- und CAD/CAM-Daten können im Standardformat und ohne zusätzliche Kosten exportiert oder importiert werden. Romexis unterstützt den DICOM-Standard (Digital Imaging and Communications in Medicine), der auch die Anbindungen zu Krankenhaussystemen ermöglicht.

Bildgebungsgeräte anderer Hersteller wie zum Beispiel Panorama-Röntgengeräte oder Scanner, können über den TWAIN-Standard direkt an die Romexis-Plattform angeschlossen werden. Die Romexis-Datenbank kann Bilder von Fremdgeräten durch den DICOM-Standard empfangen und somit auch als zentrales, geräteunabhängiges Bildarchiv genutzt werden. 

Mit Romexis ist es einfach, professionelle, qualitativ hochwertige Diagnosedokumente oder Radiologieberichte zu erstellen und an überweisende Ärzt*innen zu versenden. Auch mehrseitige Dokumente beliebiger Formate können direkt an Patientendateien angehängt werden. Das ist nicht nur einfach und schnell, sondern erleichtert auch die Aufbewahrung von beispielsweise Fernröntgen Durchzeichnungen, Überweisungen und anderen wichtigen Dokumenten.

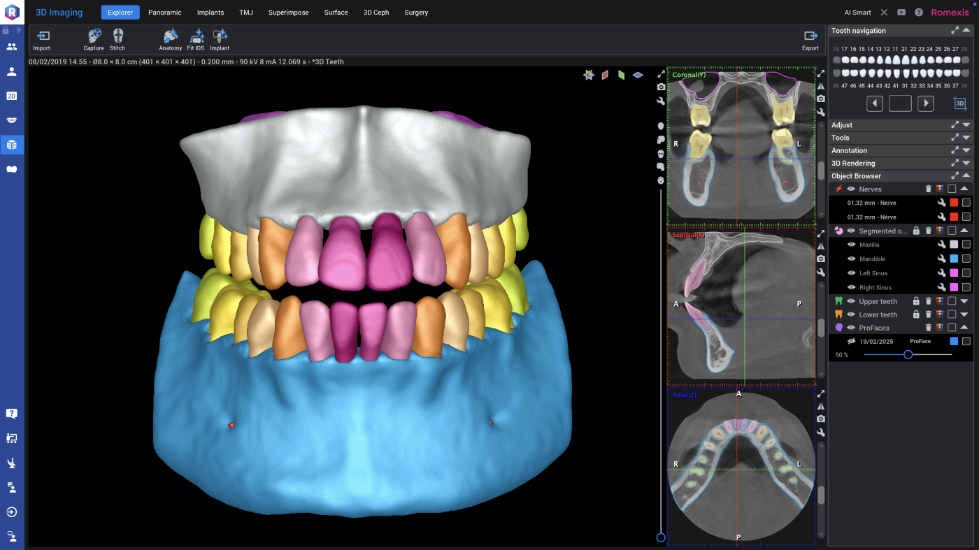
Mit Romexis behalten Sie Ihren gesamten Workflow im Blick: Von der OP-Planung bis zur schablonengestützten Chirurgie: Das Modul Romexis 3D Implant Planning stellt für die digitale Implantologie alle notwendigen Tools und Werkzeuge bereit. Durch die visuelle Überlagerung der DVT-Daten von Krone und Zahnmodell können Anwender*innen ein aus prothetischer und chirurgischer Sicht vollständiges, virtuelles Setup zur optimalen Positionierung des Implantats erstellen. 

Die Bedeutung von Datenschutz und Datensicherheit kann aufgrund der steigenden Anzahl und Komplexität der Cyberangriffe nicht hoch genug bewertet werden. Der Schutz von personenbezogenen Daten und Patientendaten muss die oberste Priorität für alle Zahnarztpraxen sein und bei sämtlichen Aspekten ihrer Arbeit berücksichtigt werden. Wir haben Sicherheitsaspekte vom ersten Tag an in unsere Software Romexis integriert – sodass alle Benutzer verantwortungsvolle Praktiken befolgen und die strenger werdenden regulatorischen Anforderungen erfüllen können.

Mehr erfahren

Leistungsstarke Features für präzise Diagnosen in allen Fachbereichen.

Leistungsstarke Optimierungs- und Analysewerkzeuge schaffen die Grundlage für präzise Diagnosen in allen Fachbereichen. Um ein Maximum an Flexibilität zu gewährleisten, passt sich Romexis auch bei der Bildgebung persönlichen Bedürfnissen und individuellen Praxis- bzw. Klinikanforderungen an.

  • Umfangreiche Auswahl zuverlässiger Werkzeuge zur Sichtung, Bearbeitung, Messung, Zeichnung und Bewertung von Aufnahmen 
  • Die 3D-Rendering-Funktion von Romexis bietet einen perfekten Überblick über die anatomische Situation: 3D-Bilder können in unterschiedlichen Perspektiven betrachtet, in Panoramabilder oder auch in Querschnittschichten umgewandelt werden – für eine komfortable und patientenfreundliche 3D-Diagnose
  • Überlagerte DVT-Aufnahmen bieten Anwender*innen ein diagnostisches Hilfsmittel zur Analyse, Kontrolle und für Vorher-/Nachher- Vergleiche

Romexis VR Modul

Die Virtual-Reality-Lösung Romexis VR ist ein leistungsstarkes Tool zur Visualisierung, Untersuchung und Analyse der 3D-Daten eines Patienten in der virtuellen Realität. Entdecken Sie das Potenzial der VR in der Zahnmedizin und erleben Sie 3D-Daten auf eine völlig neue Art und Weise!

  1. Öffnen Sie eine CBCT-Aufnahme im Romexis Modul 3D-Bildgebung. 
  2. Klicken Sie auf den Button VR starten. 
  3. Setzen Sie das Headset auf und genießen Sie.

Voraussetzungen für die Verwendung: 

  • Meta Quest 3-Headset (Bitte beachten Sie, dass KaVo keine VR-Headsets anbietet oder verkauft)
  • Ein Desktop-Computer, der die Anforderungen des Meta Quest 3-Headsets erfüllt
  • Romexis-Lizenz mit 3D Standard oder 3D Implant Modul 
  • Romexis Version 6.4.8 oder höher
  • Romexis VR-Anwendung (verfügbar im KaVo Extranet)

Implantatplanung:

  • Visualisierung der Implantatplanung in der virtuellen Realität.
  • Nutzung umfangreicher Implantatbibliotheken.
  • Bestimmung der optimalen Position und Passgenauigkeit der Implantate.
  • Übertragung der Planung zur Desktop-Version von Romexis für Bohrschablonenerstellung.

Immersive Erfahrung:

  • Veranschaulichung der Mundgesundheit und Behandlungsmöglichkeiten für den Patienten.
  • Zahnanatomie wird in einer realen 3D-Umgebung dargestellt.
  • Steigert das Verständnis und Vertrauen der Patienten in die Behandlung.
Hilfreiche Links

Implantatbibliothek

Die Romexis Implantatbibliothek umfasst zahlreiche realistische Implantatmodelle von über 100 Herstellern sowie Hülsen für Bohrschablonen. Nach Abschluss der Implantatplanung kann die gewünschte Bohrschablone mit nur wenigen Klicks durch Romexis angefertigt werden:

Zur Romexis Implantatdatenbank ->

 

Romexis Cloud

Schneller, einfacher und sicherer Service für die Bildübertragung.

Zur Romexis Cloud ->

Romexis Viewer

Kostenloser Viewer mit vollem Funktionsumfang zum Anschauen von 2D- und 3D-Romexis-Bildern. Die Anwendung kann exportiert und zusammen mit Bildern aus der Romexis-Software versendet werden.

Zum Romexis Viewer ->

 

LabApp

Bildübertragungsanwendung für Dentallabore zur einfachen und sicheren Kommunikation mit Zahnkliniken:

Zur Lab App ->

Der einfache Top-down Implantat-Arbeitsablauf.

Nerv auf DVT-Aufnahme markieren und den 3D-Modell-Scan mit der DVT-Aufnahme überlagern.

Passende patientenspezifische Krone aus der Romexis Kronenbibliothek oder einem CAD-System in die Software importieren.

Gewünschtes Implantat und passende Hülse aus der Romexis Bibliothek auswählen und die optimale Position aus prothetischer und chirurgischer Perspektive bestimmen.

Die Implantatschablone direkt in der Romexis Software entwerfen – die Software erstellt automatisch eine offene STL-Datei für den Entwurf und ermöglicht das Design von ergänzenden zahn- und mukosagestützten Schablonen.

Drucken Sie die erstellte Bohrschablone mit einem 3D-Drucker aus.

Übersicht Romexis Module

Romexis 2D Standard

  • 2D-Bilderfassung mit Bildgebungsgeräten
  • TWAIN-Erfassung mit Bildgeräten von Drittanbietern
  • Unterstützung für Intraoral-, Panorama- und Fernröntgenbilder sowie 3D-Schnappschüsse und Fotos
  • Bildbearbeitungs-, Mess- und Anmerkungswerkzeuge
  • Unterstützung für Bildstudienvorlagen
  • Individuell konfigurierbare Vorfilter für alle Bildtypen
  • Mehrseitiger Druck mit Kunden-Branding
  • Importe und Exporte: DICOM, JPEG, PNG, TIFF und BMP
  • Exporte mit dem kostenlosen Romexis Viewer
  • Video-, PDF- und Dokumentenanhänge
  • Speicherung von DICOM-Dateien auf Medien (DICOMDIR)
  • Benutzerverwaltung und -berechtigungen, einschließlich Prüfprotokollen
  • Patientensuche anhand von Bildtyp, Datum oder Kommentar
  • Zuweisung von Patienten zu Benutzern

Romexis Smile Design

  • Fotorealistische Simulation eines neuen Lächelns
  • Zahnsilhouette mit Zahnformenbibliothek und Erstellung benutzerdefinierter Zahnformen
  • Gitter für zahnlose Fälle
  • Zahnfarbenschablone und Auswahl der Zahnfarbe
  • Gesichtsanalysewerkzeuge
  • Zuordnung von Gesichts- und Intraoralfotos
  • Exporte zu CAD/CAM- oder sonstigen 3D-Systemen
  • Automatischer Smile Design-Bericht und benutzerdefinierter Ausdruck
  • Beinhaltet Romexis 2D Standard

Romexis 3D Standard

  • Aufnahmen mit DVT-Geräten
  • MPR-Ansichten (axial, sagittal, koronal)
  • 3D-Rendering-Ansichten
  • Pseudopanorama- und Querschnittsansichten
  • Bildverarbeitungs-, Anmerkungs- und Messwerkzeuge
  • Importe: DICOM, STL
  • Exporte: DICOM, STL, OBJ, OBJ
  • Konvertierung von DVT-Aufnahmen in STL-Dateien
  • Kiefer- und Zahnsegmentierung
  • Segmentierung der Atemwege
  • Segmentierung mithilfe der Bereichsvergrößerung
  • Darstellung des Nervus mandibularis und Markierung des Wurzelkanals
  • Zuordnung von DVT-Aufnahmen und Zahnmodellen oder beliebigen STL-Dateien
  • TMG-Ansichten
  • Überlagerung von zwei DVT-Bildern
  • Erstellung virtueller Fernröntgenbilder
  • Erstellung von 2D-Schnappschüssen und 2D-Schichtstapeln
  • Unterstützung für 3D-Fotos
  • Zuordnung von DVT-Aufnahmen und 3D-Fotos
  • Überlagerung von 3D-Fotos
  • Gestaltung von 3D-Fotos
  • Mehrseitiger Druck mit Kunden-Branding
  • Start von externen Anwendungen (Dolphin, Co-Diagostix, Simplant, Nobel Clinician etc.)
  • Beinhaltet Romexis 2D Standard

Romexis 3D Implant

  • Implantatplanungswerkzeuge (Ausrichtung, Implantatverlängerung, Implantat-Sicherheitsbereiche)
  • Zentralansichten des Implantats
  • Implantatbibliothek mit über 70 Herstellern
  • Abutmentbibliotheken und generisches Werkzeug für Abutment-Design
  • Generische Kronenbilbiothek
  • Implantat-Verifizierungswerkzeug
  • Automatische Implantat-Berichte
  • Enthält Romexis 2D Standard, Romexis 3D Standard, Romexis 3D Advanced

 

Romexis 3D Implant Guide

  • Werkzeuge zum Design von Implantatbohrschablonen mit offenen STL-Exporten
  • Automatische Implantat- und Hülsen-Berichte
  • Enthält Romexis 2D Standard, Romexis 3D Standard, Romexis 3D Implant

Romexis CAD/CAM

Hauptmerkmale

  • Scannen mit dem Intraoralscanner KaVo ProXam iOS**
  • Aufnahme von 2D-Schnappschüssen mit dem Scanner** 
  • Farbtonassistent ** 
  • Workflow-Assistent ** 
  • Voreinstellungen für die gängigsten Workflows ** 
  • Freie Musikauswahl für den Scan-Ton ** 
  • Ausrichtung der Zähne ohne bukkalen Scan in Fällen mit kompletten Zahnbögen** 
  • Scannen verschiedener Bisse (offen, geschlossen usw.)** 
  • Werkzeuge zum Löschen, Bearbeiten und Beschneiden von Modellen 
  • Markierung der Randlinie für Ober- und Unterkiefer** 
  • Betrachtung der Zahnmodelle mit vordefinierten Ansichten 
  • Kontaktkartenberechnungen 
  • Berechnung von Unterschnitten 
  • Messungen der Zahnbreite, Bogenlänge und freie Maße 
  • Zahnmodellanalysen wie Bolton und Space 

 

**Unterstützung nur für das Windows-Betriebssystem

  • Erstellung der Modellbasis für feste und hohle Modelle 
  • Vergleich der Scans 
  • von STL- und PLY-Dateien 
  • Exportieren in Formaten PlanCAD Premium, ExoCAD und 3Shape 
  • Senden von Scans mit Romexis Cloud und DDX Cloud
  • Konfigurierbarer Schnellstart für die Online-Portale von Drittanbietern 
  • Erstellung von Labor-Bestellformularen (PDF) 
  • Beinhaltet Romexis 2D Standard

 

Technische Daten:

Import- und Export-Dateiformate:  STL, PLY 
Unterstützte Software-Exporte:  3Shape, Exocad, PlanCAD® Premium
Unterstützte Cloud-Portale: HeySmile, DDX Dental, TruAbutment 
Betriebssysteme:  Windows 10 Pro 64 bit, Windows 11 Pro 64 bit

DICOM-Print

  • DICOM-Print SCU

 

DICOM Full

  • DICOM-Print SCU
  • DICOM-Storage SCU
  • DICOM-Worklist SCU
  • DICOM Query/Retrieve SCU
  • DICOM-Storage Commitment
  • DICOM MPPS

Romexis Cloud

  • Sichere Übertragung von Fällen einschließlich Bildern und Behandlungsplänen
  • Romexis-an-Romexis-Versand von Fällen mit integrierter Fallverfolgung
  • Versand von Fällen von Romexis an beliebigen E-Mail-Empfänger

Romexis Spezifikationen & Systemanforderungen

Downloads

Kontaktieren Sie uns

Sie interessieren sich für ein neues Produkt und haben dazu Fragen an uns? Melden Sie sich gerne:

Sie haben bereits ein KaVo Produkt und haben Fragen oder ein Problem? Unser Technischer Support hilft Ihnen gerne weiter:

Ähnliche Produkte

Newsletter

Kontakt
Aktionen
Downloads
KaVo REPAIR