Radiowizjografia KaVo ProXam - Przede wszystkim komfort

Dzięki wyjątkowo małej ogniskowej i zmiennym parametrom ekspozycji obrazy 2D generowane przez lampę punktową ProXam iX i czujniki iS są więcej niż przekonujące. Gwarantują precyzyjne obrazy w wysokiej rozdzielczości i jakości HD, niezależnie od dawki promieniowania.

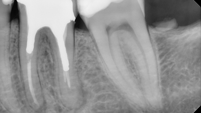
Kluczowe korzyści

  • Różne możliwości montażu (na ścianie lub unicie stomatologicznym),
  • Łatwe i dokładne pozycjonowanie, stabilne ramię, lekka i kompaktowa budowa
  • Bardzo duży zasięg (203 cm),
  • Wstępnie programowalne parametry ekspozycji,
  • Zoptymalizowana jakość obrazu dla wszystkich technik, wyjątkowa rozdzielczość i ostrość,
  • System autodiagnostyki i kody pomocy,
  • Rozdzielczość teoretyczna czujników 33 lp/mm, rozdzielczość rzeczywista > 20 lp/mm,
  • Wyjątkowo mała ogniskowa wynosząca zaledwie 0,4 mm i zapewniająca doskonałą ostrość obrazu,
  • Możliwość podłączenia czujnika do oprogramowania innych producentów poprzez bezpłatny moduł TWAIN,
  • W opcji pełna integracja z popularnym oprogramowaniem Romexis typu „all-in-one”, np. z automatycznym przesyłem parametrów ekspozycji).

Czujniki są albo zintegrowane bezpośrednio z aparatem RTG KaVo ProXam iX, albo podłączone do komputera poprzez oddzielny moduł interfejsu za pomocą kabla USB lub Ethernet. 

Dzięki magnetycznemu interfejsowi czujnik można zamocować jedną ręką

W ten sposób można szybko i łatwo zmienić rozmiar czujnika lub wygodnie przenosić czujniki pomiędzy gabinetami zabiegowymi.

Lampa punktowa ProXam. Tyle, ile trzeba, jak najmniej – optymalna dawka promieniowania.

KaVo ProXam iX działa zgodnie z zasadą ALADA, w skrócie „możliwie najniższa dawka promieniowania dopuszczalna diagnostycznie”.

ALADA oznacza, że emitowana dawka promieniowania RTG jest tak wysoka, jak jest to absolutnie konieczne do wygenerowania obrazu dobrego diagnostycznie.

Umów bezpłatną konsultację!

Zaproś nas do swojego gabinetu, a doradzimy Ci jak skonfigurować nasze urządzenia. 
Wypełnij formularz, a nasz doradca skontaktuje się z Tobą w ciągu 24h.